矯正無料相談
実施中

患者様一人ひとりに合った
治療方法をご提案
矯正治療にはさまざまな方法があり、使用する装置の種類も多岐にわたります。そのため、歯科医師によって治療方針が大きく異なることも少なくありません。
その結果、患者様にとって「どの治療法が最適なのか」「どの矯正装置を選べばよいのか」と悩まれることもあるでしょう。
当院では、そうした不安を解消していただくために、矯正無料相談を実施しています(別途、初診料を頂戴します)。
まずは、ご自身の歯並びや噛み合わせの状態を正確に把握し、矯正治療に関する知識を深めることで、不安や疑問を解消していただけます。そして、患者様一人ひとりに最適な矯正治療を選択できるよう、丁寧にサポートいたします。お気軽にご相談ください。
矯正無料相談のご予約はこちらから
マウスピース矯正について

マウスピース矯正とは、透明なカスタムメイドのマウスピースを使用して歯の矯正を行う方法です。
この治療法は目立ちにくく、取り外し可能で、比較的痛みが少ないとされています。段階的にマウスピースを交換し、歯を理想的な位置に移動させます。ただし、適用できないケースもあるため、歯科医師に相談して矯正方法を決定する必要があります。
こんなお悩みはありませんか?
- 歯並びが悪くて気になる
- 矯正装置が目立つ
- 矯正していることを知られたくない
- 矯正治療に伴う痛みが不安
- 矯正中の虫歯や歯周病が心配
- 通院が大変そう
動画でわかる
矯正治療
マウスピース矯正のメリット

矯正中も目立ちにくい
透明に近いマウスピース型の装置です。
歯に矯正装置をつけていることを周りにほとんど気付かれることなく歯並びの矯正治療を行うことができます。
治療の痛みが少ない
矯正治療の痛みについては個人差がありますが、マウスピース矯正は従来の矯正法と比べて痛みや不快感の少ない治療になります。
日常生活への影響が少ない
患者さまご自身で簡単にマウスピースを取り外すことができます。
普段通りに食事を楽しめますし、毎日の歯磨きやマウスピースの洗浄もしやすく、お口の環境を清潔に保ちやすくなっています。
通院頻度が少ない
当院で導入しているマウスピース矯正では、歯の型取りが基本的にはじめの1回でできるので、定期的な通院も少なく済みます。
金属アレルギーの方でも安心
マウスピース型の装置は素材に金属を使用していないので、金属アレルギーの方でも安心して矯正治療を行うことができます。
マウスピース矯正のデメリット
自己管理が重要
マウスピースの装着は患者さまの自己管理の元で行なっていただきますので、装着時間やお口の健康管理など事前にお伝えする内容をきちんと守っていただけないと、治療期間が延びたり最終的な仕上がりに影響が生じてしまう場合があります。
適用できないケースがある
矯正治療のデータ蓄積と技術向上により、現在では多くの歯並びの問題に対応可能ですが、患者さまのお口の状態によってはマウスピース矯正が適していない場合があります。
小児マウスピース矯正

インビザラインファーストについて
お子さまの乳歯や生え替わったばかりの永久歯を見て、歯並びの乱れに悩まされている保護者さまはたくさんいらっしゃいます。子どもの歯列矯正を始めるのに最適なタイミングは、一般的には永久歯が生え揃う前の小学校1年生くらいが治療を開始するベストタイミングだとされています。
特徴とメリット
1早期の歯並び矯正
子どもの成長期に合わせて、歯並びやあごの発育に問題がある場合に矯正を行うことで、将来的により複雑な問題を防ぐことができます。永久歯がすべて生えそろう前の混合歯列期(乳歯と永久歯が混在する時期)に対応しています。
2取り外しが可能
通常のインビザライン同様、透明なアライナーを使用しているため、目立ちにくく、かつ食事や歯磨きの際に取り外せるという利点があります。特に子どもにとっては、食事や歯磨きがしやすいことが重要です。
3歯並びだけでなく、あごの
発育もサポート
インビザライン ファーストは、ただ歯を動かすだけでなく、あごの成長や発育を正しい方向に誘導する役割も果たします。これにより、永久歯が正しく並ぶスペースを確保することができます。
4快適で痛みが少ない
子どもでも装着が比較的快適で、痛みも少ないと言われています。ワイヤーやブラケットを使用しないため、口腔内の違和感や痛みが軽減されます。
5短い治療期間
インビザライン ファーストは通常の矯正よりも治療期間が短いことが多く、早い段階での矯正が有効に働く場合が多いです。ただし、ケースによっては第二段階の矯正が必要になることもあります。
マウスピース矯正の流れ

1カウンセリング
歯並びや噛み合わせなど、歯と顎の状態を確認し、矯正治療の流れ、治療期間や費用などの目安をご説明いたします。
歯並びや矯正治療に関して不安や質問がございましたら、何でもご相談ください。

2精密検査・歯の型取り
治療計画の精度を高めるために、口腔内撮影、レントゲン撮影、歯の型採りなど各種必要な検査を行います。

3診断・治療計画の説明
カウンセリング内容と精密検査の結果を踏まえて、患者さまに合った矯正プランをご提案させていただきます。
歯の動き方、費用や期間などを含め、今後の治療計画について丁寧にご説明いたします。

4矯正治療前の準備
矯正治療中に虫歯や歯周病のリスクを軽減するため口内のクリーニング、適切なセルフケアについてアドバイスを行います。
虫歯や歯周病の治療が必要な場合、治療前にお口の健康を最適な状態に整えてから矯正治療を開始します。

5矯正治療の開始
患者さま専用のマウスピースを装着し、日常生活を過ごしていただきます。
およそ3〜6週間ごとに当院へ通院していただき、治療の進行状況を確認し、必要に応じて調整を行います。

6保定期間
歯並びが改善し、見た目も整いましたら、歯が元の位置に戻らないよう保定装置(マウスピース型の装置)を一定期間装着していただき、歯並びを安定させていきます。
こちらの保定期間が終わりましたら、矯正治療は完了となります。
矯正料金
月々3,300円から
矯正治療が受けられます

当院ではデンタルローンをご利用いただくことで、
月々3,300円から矯正治療を受けていただけます。
費用面で治療をためらわれている方も、無理のないご負担額で矯正治療を受けていただけますので、ぜひお気軽にご相談ください。
| インビザライン | 330,000〜970,000円 |
|---|---|
| 小児 インビザラインファースト |
660,000円 |
*全て税込です
お支払い方法について
現金、クレジットカード、電子マネー、QR決済、デンタルローンがご利用いただけます。
デンタルローンについて

患者様がデンタルローン会社に分割でお支払いいただくというシステムです。自費治療を月々低額でのご返済で受診することが可能となるサービスです。
当院で取り扱うデンタルローン
当院では「アプラスローン」「エポス デンタルクレジット」を使用しております。 詳しくは、デンタルローン会社のホームページをご覧いただくか、当院スタッフまでお気軽にお問い合わせください。
マウスピース矯正の症例
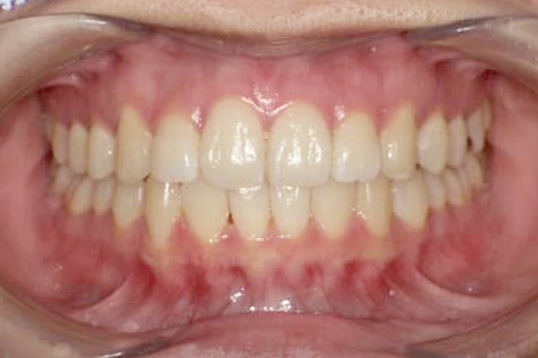
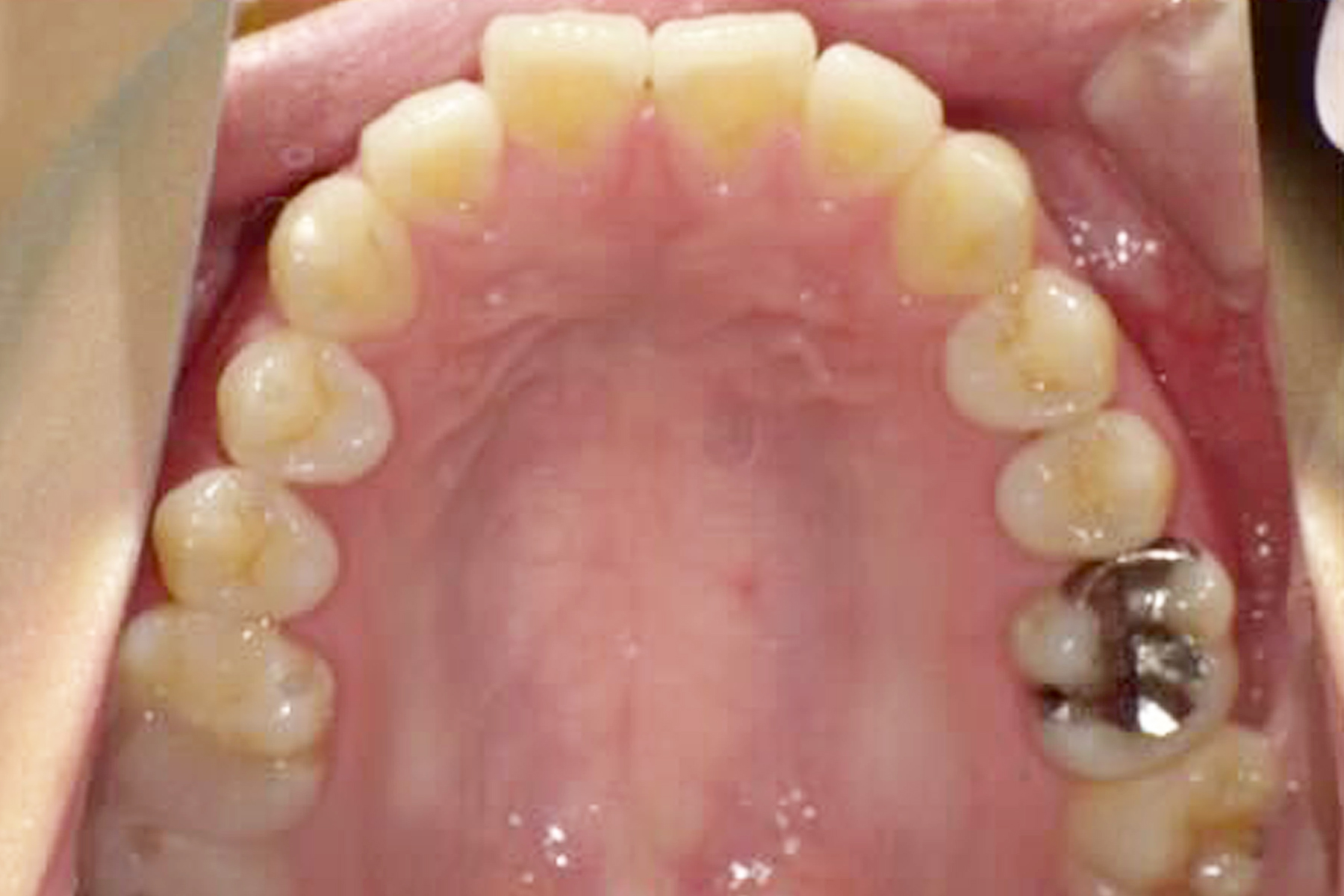
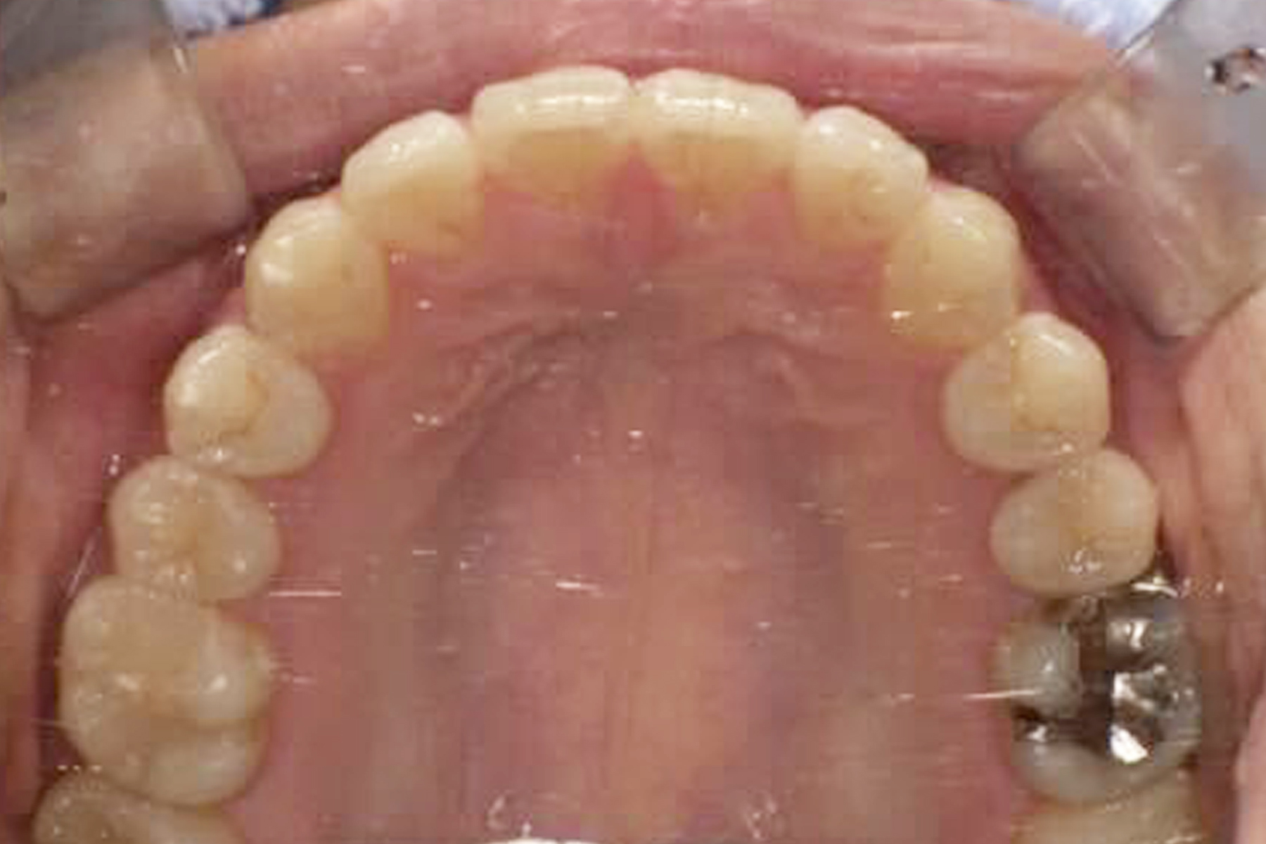
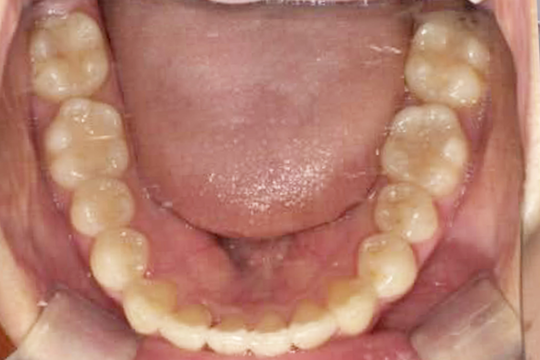
Case.1
BEFORE

AFTER

BEFORE

AFTER

BEFORE

AFTER

| 担当医 | 林 大貴 |
|---|---|
| 主訴 | 歯並びを直したい |
| 期間 | 約6ヶ月 |
| 費用 | 550,000円 |
| 治療内容 | マウスピース矯正 |
| 治療に伴うリスク | 動的治療後、保定装置を決められた期間確実に装着しなかったり した場合後戻りが起こる可能性があります。 |
