東浦和でインプラント実績
トップクラス
インプラント無料相談
実施中

患者様一人ひとりに合った
治療方法をご提案
インプラント治療にはさまざまな方法があり、使用するインプラントのメーカーや種類も多岐にわたります。そのため、歯科医師によって治療方針が異なることも少なくありません。
その結果、患者様にとって「どの治療が最適なのか」「どのインプラントを選べばよいのか」と悩まれることもあるでしょう。
当院では、そうした不安を解消していただくために、インプラントの無料相談を実施しています(別途、初診料を頂戴します)。
まずは、ご自身のお口の状態を正確に把握し、インプラントに関する知識を深めることで、不安や疑問を解消していただけます。そして、患者様一人ひとりに最適なインプラント治療を選択できるよう、丁寧にサポートいたします。
まずはお気軽にご相談ください。
インプラント無料相談のご予約はこちらから
歯を失ってしまった
方への治療法

インプラント治療とは、歯が失われてしまった部分に人工の歯を埋入する治療のことです。人工の歯根を顎の骨の中に埋め込み、その上に人工の歯を固定します。
入れ歯やブリッジと異なり、隣の歯を削って負担をかけることもありませんし、自分の歯と同じような感覚で違和感なく噛むことができるようになります。また、下顎の総入れ歯が不安定で動いてしまう方や、上顎の総入れ歯で口蓋が無いものを使用される場合などには、インプラントによって入れ歯を固定する方法も有効です。
歯茎を切らずに、最小限の侵襲で行うインプラント治療を実現
当院では、患者様の体への負担を極力抑えながら、理想的な位置にインプラントを埋入できる『ワンガイドシステム』を導入しております。
この技術により、インプラント手術の際の傷口を小さくし、手術時間も短縮可能です。その結果、患者様のお体への負担を軽減できるほか、顎の骨にある重要な血管や神経を避けて安全にインプラントを埋め込むことが可能です。
*歯茎の切開なしは、場合によります。
ワンガイドシステム
ワンガイドシステムとは
インプラントは、人工歯根を顎の骨に埋め込み、骨と結合させることで、ご自身の歯のようにしっかり噛めるようにする治療法です。
しかし、インプラントはただどこにでも埋め込めば良いわけではありません。顎の骨には大切な神経や血管、副鼻腔といった重要な組織や器官があり、さらに噛み合わせも考慮して慎重に埋入位置を決める必要があります。
当院では、オステム社の「ワンガイドシステム」を導入し、CTスキャンで取得した立体的な顎の骨のイメージをもとに、コンピュータで最適な埋入位置を正確に決定しています。これにより、患者様の安全を守りつつ、理想的な位置にインプラントを埋め込むことが可能です。
ワンガイドシステムで実現できる
4つのこと
-
大事な血管や神経、
器官を避けて
手術が行えるワンガイドシステムでは、CT撮影で得られた顎の骨の立体画像をもとに、インプラントの最適な埋入位置を決定します。
その後、患者様の顎の骨をもとに作成したOne Guideテンプレートを用い、そのガイドに沿って手術を行うことで、決めた位置に正確にインプラントを埋め込むことができます。この方法により、顎の骨の重要な部分を傷つけることなく、理想的な位置にインプラントを安全に埋入することが可能です。
-
傷口を最小限に抑える
通常のインプラント手術では、インプラントを埋め込む際に歯茎を切開し、骨を露出させてその状態を確認したうえで処置を行います。
しかし、ワンガイドシステムを使用することで、あらかじめ立体画像で顎の骨の状態を把握したうえで最適な埋入位置を決定できるため、歯茎を切開する必要がありません。その結果、手術によるダメージが軽減され、痛みや腫れ、出血が最小限に抑えられるほか、傷口の回復も早まります。
-
治療時間を短くできる
ワンガイドシステムを用いることで、歯茎を切開、剥離、縫合する工程を省略できます。また、埋入位置が事前に正確に決まっているため、位置を迷うことなくインプラント手術を行うことができ、手術時間を短縮できます。
特にインプラントの埋入本数が多い場合には、体への負担を最小限に抑え、短時間で効率的に手術を進められるという大きなメリットがあります。
-
当日に仮歯を入れることが可能
インプラントの埋入位置を事前に決定できるため、仮歯をあらかじめ準備しておくことが可能です。これにより、症例によっては手術当日に仮歯を装着することもできます。
*シミュレーション上、骨が安定している場合は当日に可能です。
インプラント治療の流れ

1事前検査
インプラント治療を始める前には、慎重な事前検査が必要になります。レントゲン撮影・CTスキャン・口腔内模型検査などによる充分な検査を行い、綿密な治療計画を立てます。患者さまの同意を得てから手術の日程を決めます。

2治療開始
お口の中が清潔で炎症のない状態であることを確認したうえで、治療を開始します。局部麻酔を行ったあと、顎の骨にインプラントを埋め込みます。このインプラントが新しい歯の土台となります。
手術後は、インプラントと骨が結合するまで待ちます。様々な条件によって期間が異なりますが2ヶ月~半年が目安となります。

3人工歯の装着
インプラントが顎の骨と結合したら、インプラントの上にアバットメントを連結して人工の歯(上部構造)を装着する準備をします。

4人工の歯(上部構造)を装着
インプラントのヘッドに、人工の歯(上部構造)を装着します。
これでインプラントを装着する治療が終わります。

5メインテナンス(検診)
インプラントを長持ちさせるため、メインテナンス(検診)に定期的に通っていただきます。インプラントのネジの締まり具合を点検したり、噛み合わせの調整も必要になります。
また、インプラントは虫歯にはなりませんが、メインテナンスを充分に行わないと歯周病にかかることがありますので、そうしたトラブルを防ぐためにも治療後もしっかりとサポートいたします。
インプラント料金
月々5,500円から
インプラント治療が受けられます

当院ではデンタルローンをご利用いただくことで、
月々5,500円からインプラント治療を受けていただけます。
費用面で治療をためらわれている方も、無理のないご負担でインプラント治療を受けていただけますので、ぜひお気軽にご相談ください。
| インプラント | 550,000円 (検査・診断、サージカルガイド、 GBR、上部構造) 上記、全て含んでいます。 |
|---|
*全て税込です
追加処置
| 静脈内鎮静法 | 110,000円 |
|---|---|
| サイナスリフト | 330,000円 |
| 大幅なGBR | 110,000円 |
*全て税込です
お支払い方法について
現金、クレジットカード、電子マネー、QR決済、デンタルローンがご利用いただけます。
デンタルローンについて

患者様がデンタルローン会社に分割でお支払いいただくというシステムです。自費治療を月々低額でのご返済で受診することが可能となるサービスです。
当院で取り扱うデンタルローン
当院では「アプラスローン」「エポス デンタルクレジット」を使用しております。 詳しくは、デンタルローン会社のホームページをご覧いただくか、当院スタッフまでお気軽にお問い合わせください。
インプラントの症例
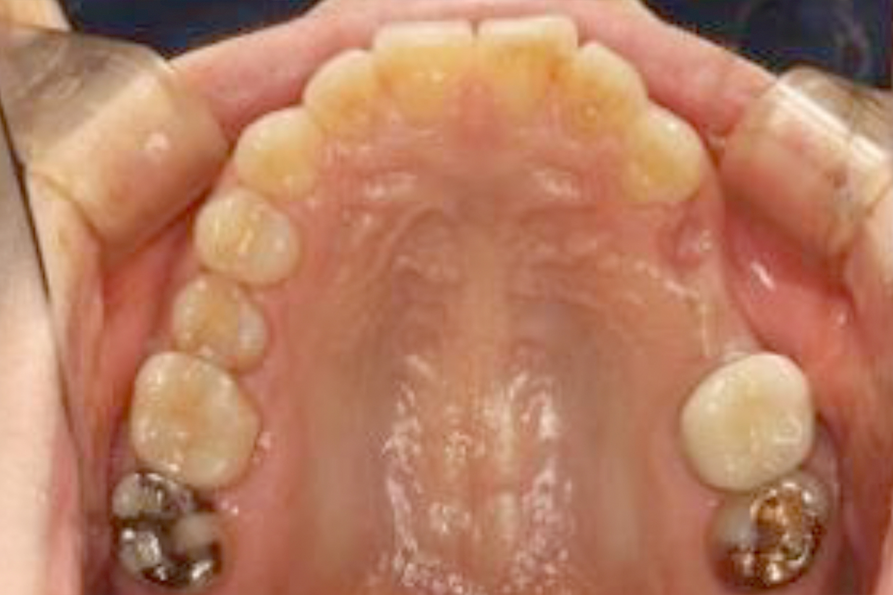
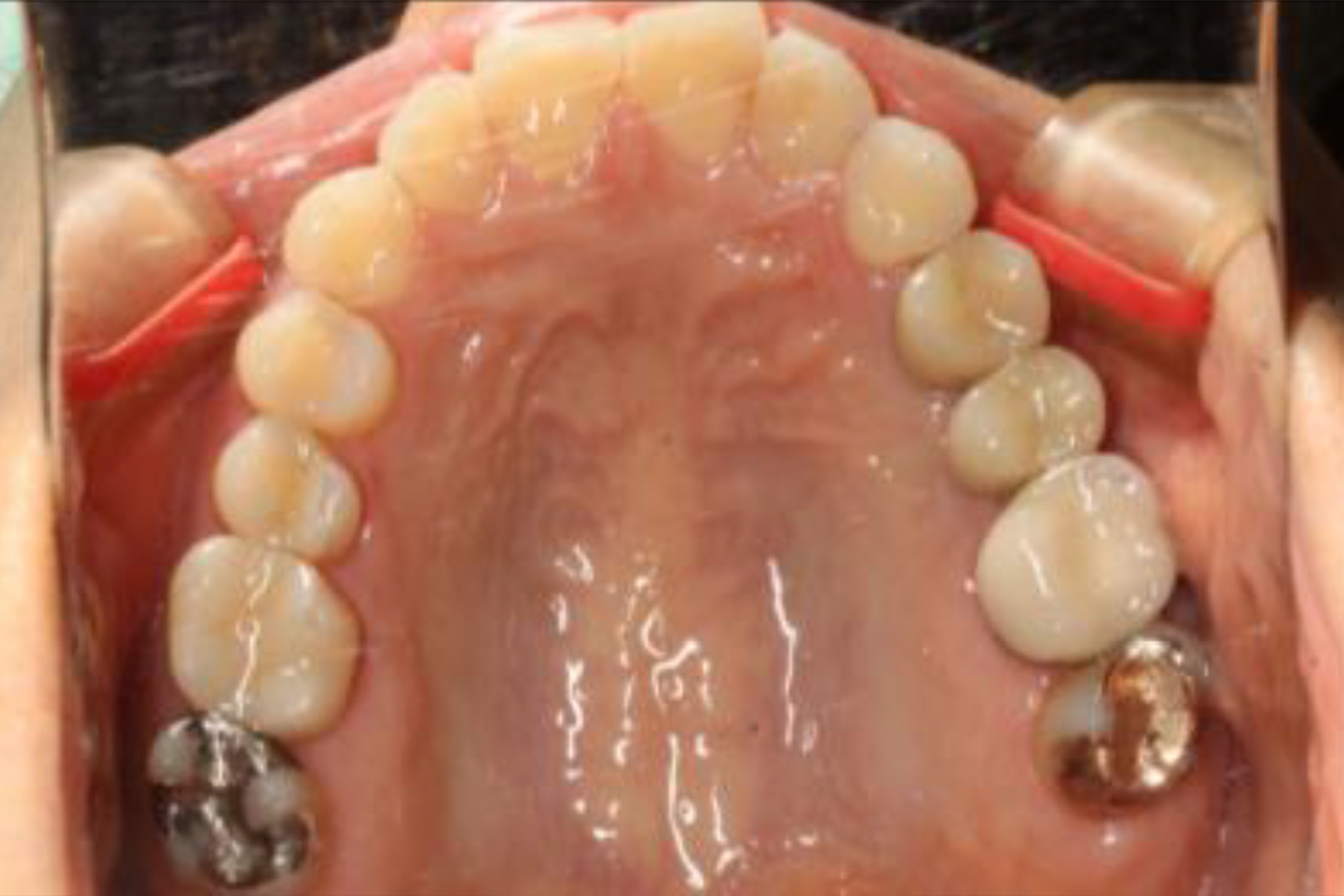
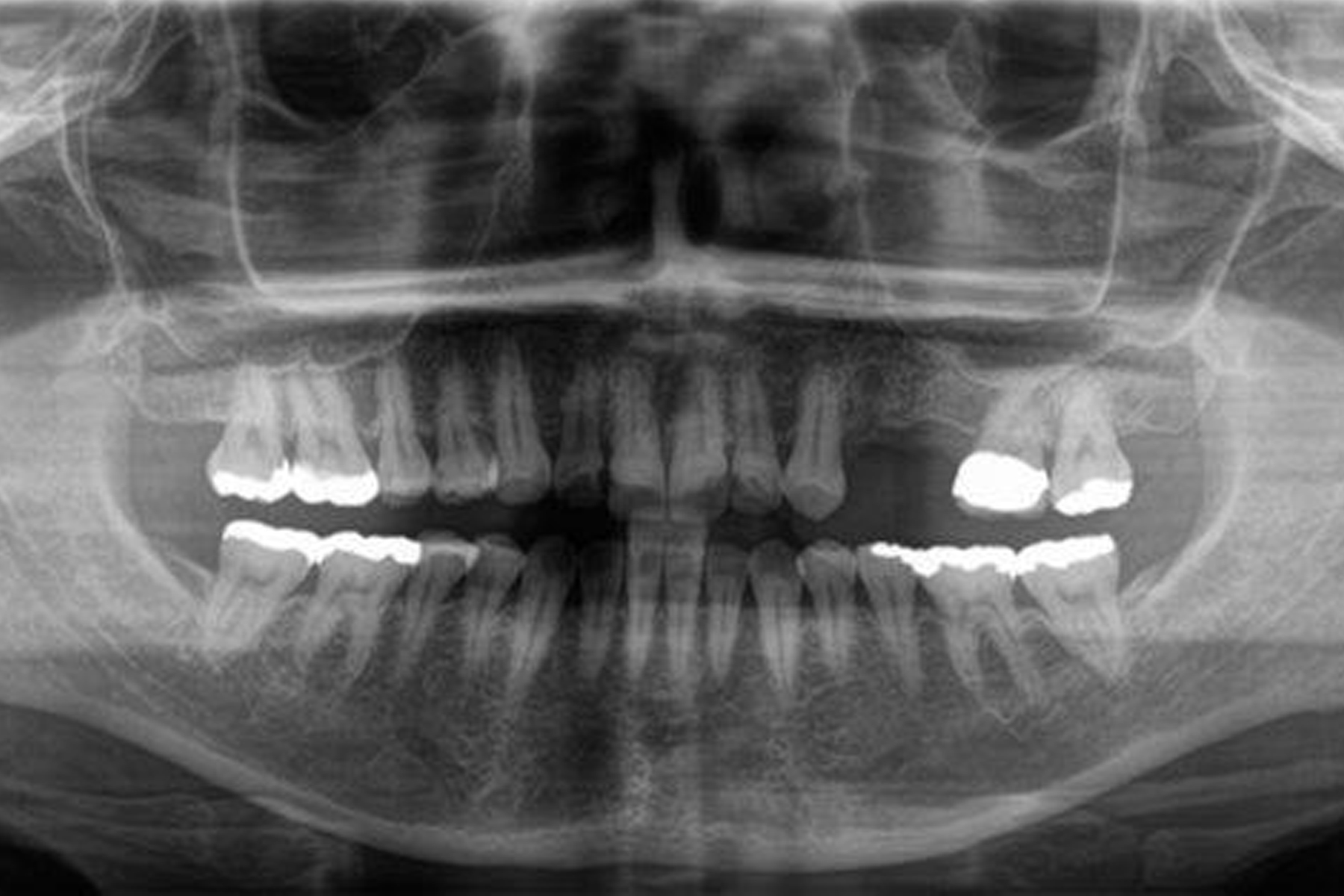
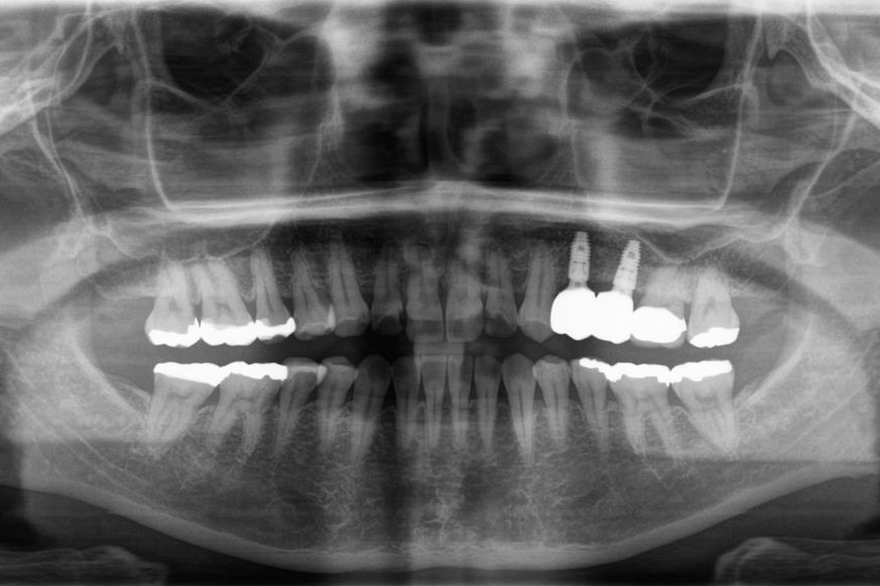
Case.1
BEFORE

AFTER

BEFORE

AFTER

| 担当医 | 林 大貴 |
|---|---|
| 主訴 | 左上の歯が噛むと痛い |
| 期間 | 約9ヶ月 |
| 治療内容 | 左上4、5番の欠損部位に対して、人工歯根を埋入し上部構造として補綴物をかぶせた。左上4番についてはインプラント埋入の際にソケットリフトを行った。 |
| 治療に伴うリスク | インプラントは、過剰な咬合力がかかった場合、インプラント周囲炎により骨の吸収を認めることがある。 インプラント周囲炎の可能性があるためメンテナンスが必要。 |
