審美歯科について

通常の歯科治療よりもより見た目の改善を重視される患者さまにおすすめするのが審美歯科治療です。
当院では以下のようなご希望の患者さまが来院されています。
来院される患者さまのご希望
- 何年か前に詰めた銀歯を白くしたい
- 歯と歯ぐきの間の黒い部分をキレイにしたい
- 前歯の形や色、向きが気になる
- 全体的に歯を白くしたい
- 1本だけ色の違う歯が気になる
- 被せ物の材質の比較
上質なセラミックによる審美治療
見た目の改善を重視する審美治療では、「セラミック」による詰め物、被せ物が主流となっています。上質なセラミックは自由診療(保険適用外)の治療となりますが、保険適用の材質よりも天然の歯に近い色を出すことが可能です。
患者さまのご希望に合わせたご提案をしておりますので、ご興味のある方はお気軽にご相談ください。
セラミック治療のメリット
-
天然歯に近い美しさ/
変色しにくいセラミックは歯の色や透明感を再現できるため、まるで自分の歯のような仕上がりになります。特に前歯などの見た目が気になる部分の治療に適しています。
セラミックは変色しにくく、長期間にわたって美しい白さを維持できます。
-
金属アレルギーの心配がない/
むし歯の再発リスクが低い金属を一切使用しないため、金属アレルギーのリスクがなく、体に優しい治療法です。また、セラミックは歯としっかり密着するため、細菌の侵入を防ぎ、むし歯の再発リスクを抑えることができます。

-
長持ちしやすい
セラミックは耐久性が高く、適切なケアを行えば長期間使用することが可能です。適切なケアをすれば10年以上使用できることもあります。

動画でわかる
ホワイトニング
セラミックの症例
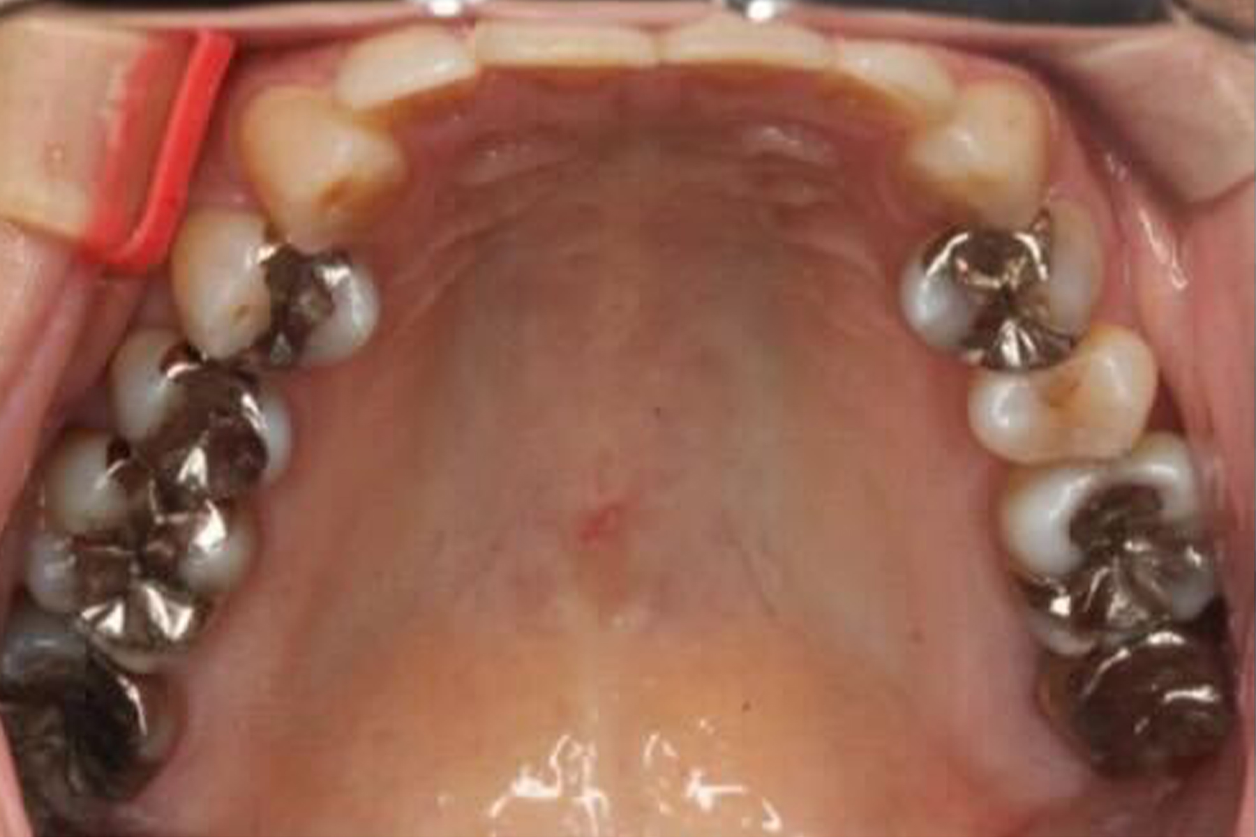
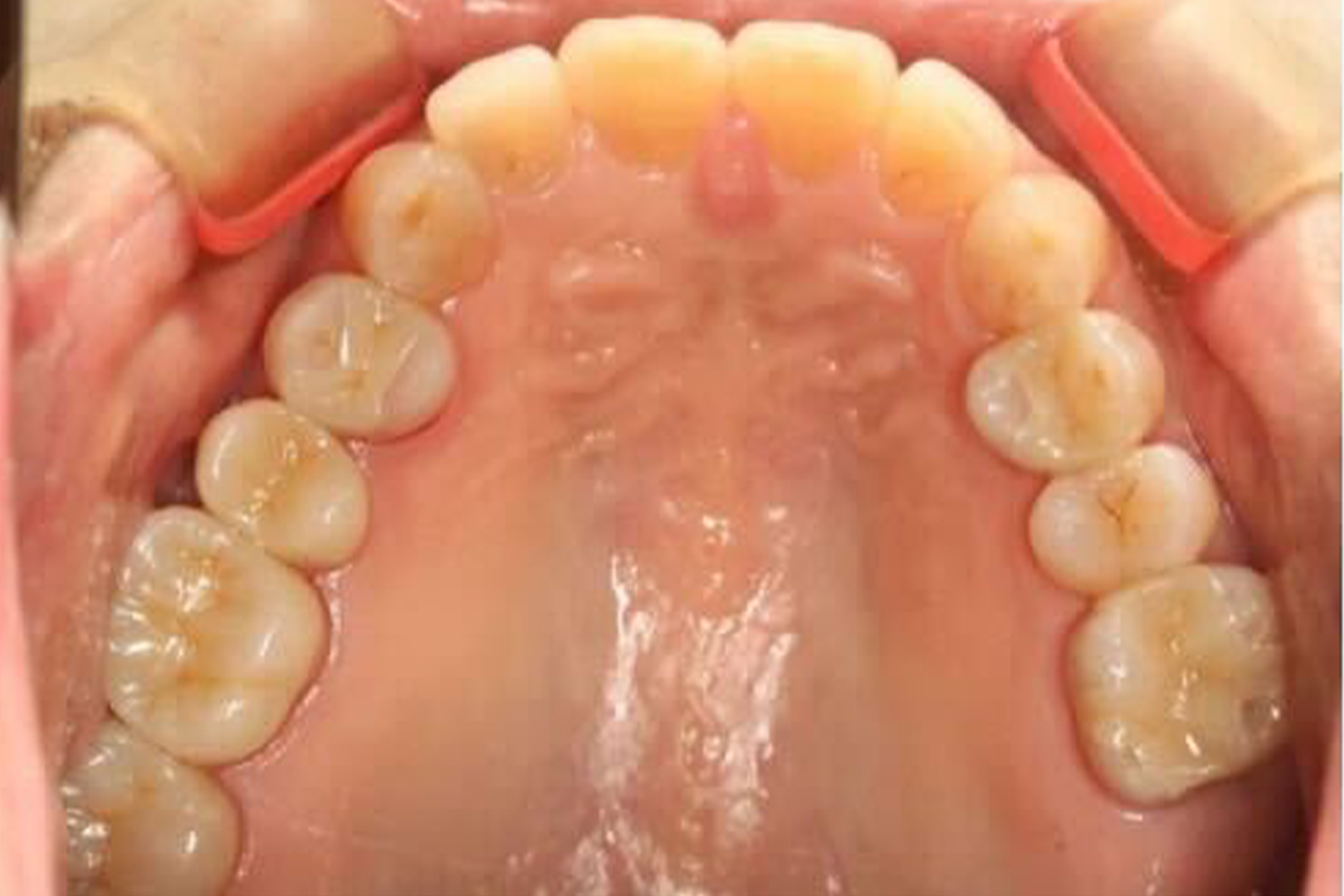
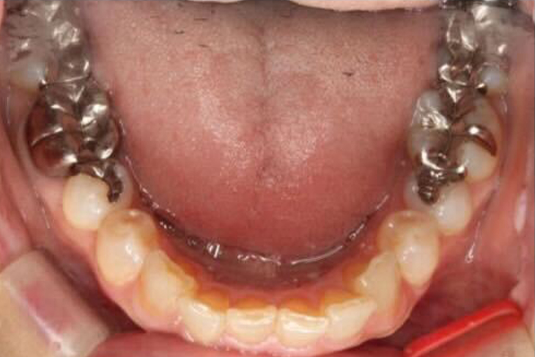
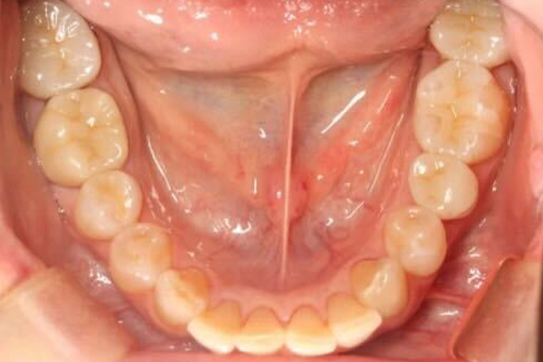
Case.1
BEFORE

AFTER

BEFORE

AFTER

| 担当医 | 林 大貴 |
|---|---|
| 主訴 | 銀歯を白い歯に変えたい |
| 治療に伴うリスク | 破折、色調の再現に限界がある。 |
